關閉

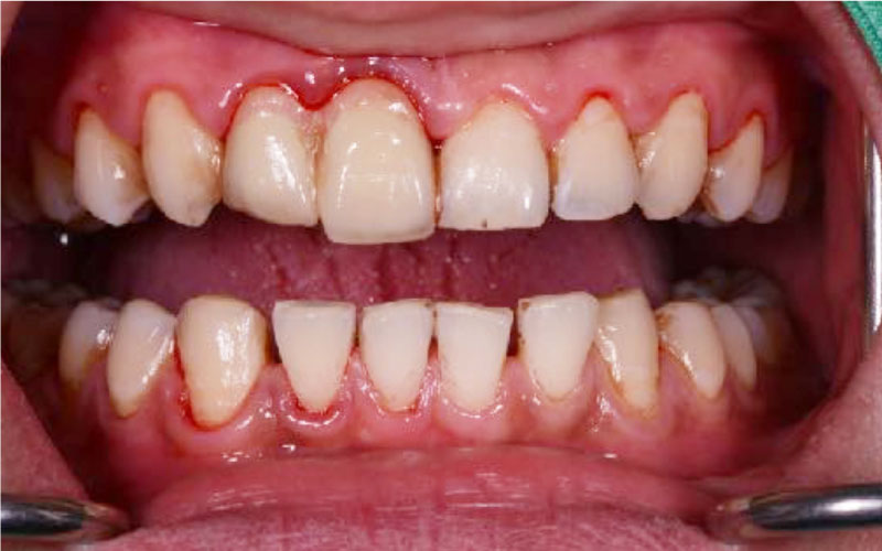
噴砂美⽩

美白前
美白前
美白後
美白後

美白前
美白前
美白後
美白後

美白前
美白前
美白後
美白後

居家美⽩

 

美白前
美白前
美白後
美白後

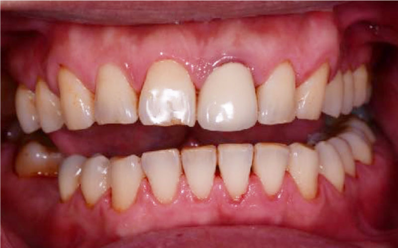
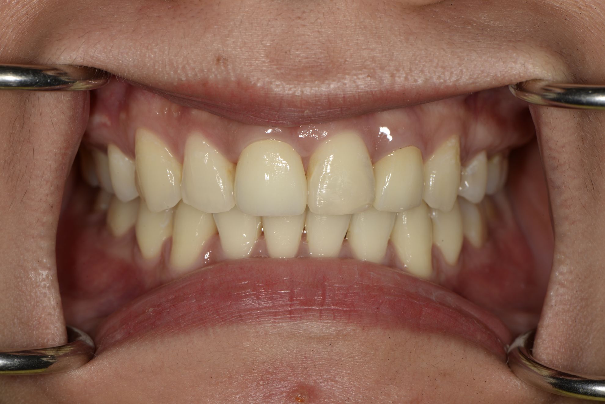
冷光美白

美白前牙齒美白案例
美白後
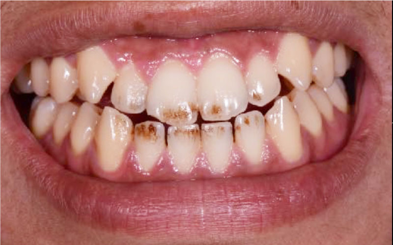
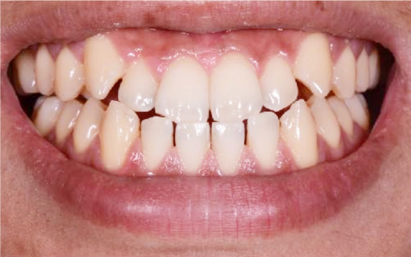
牙齒美白案例

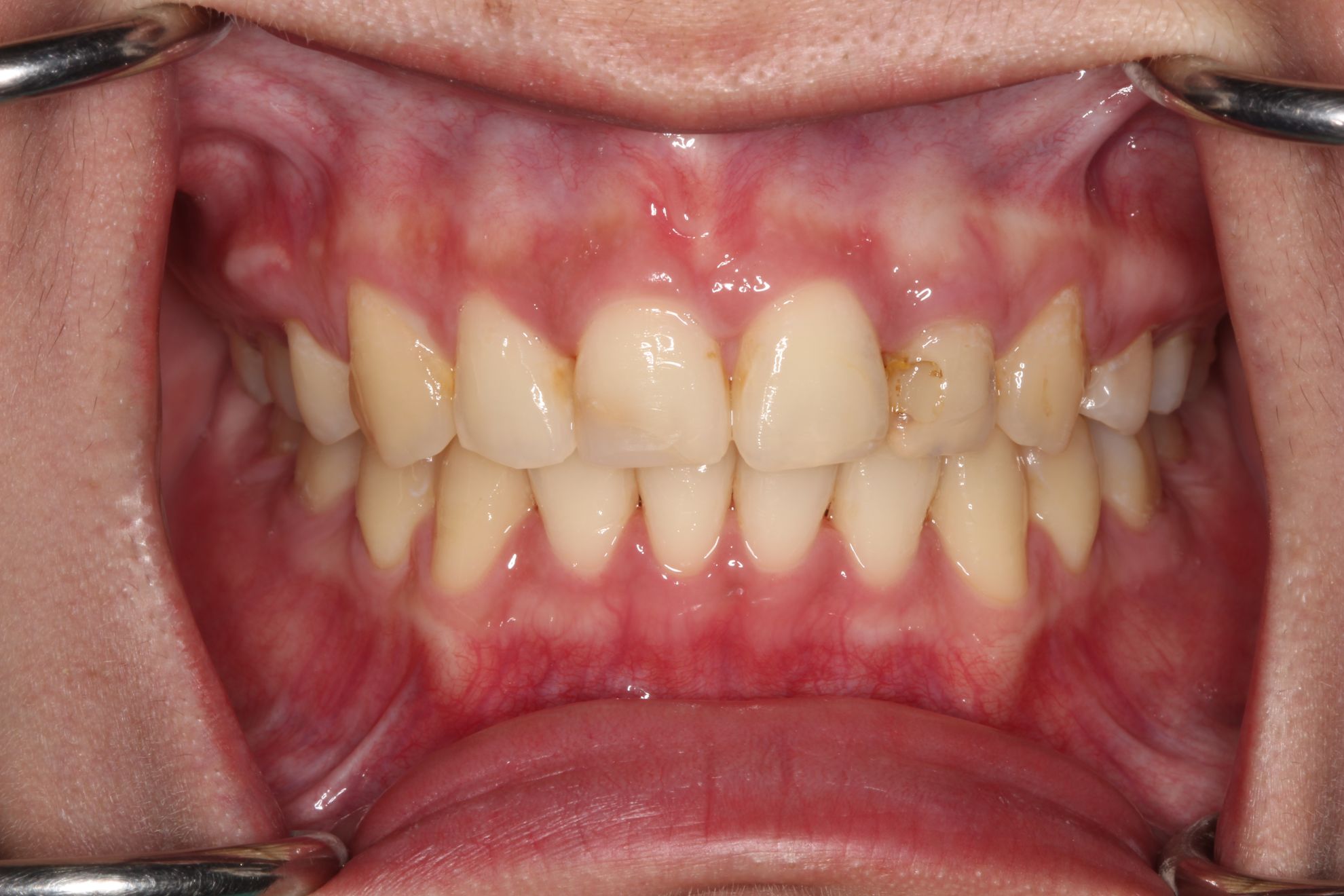
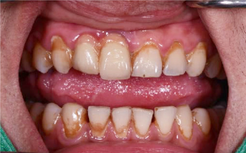
下列案例為院長--葉哲瑋醫師提供

 

 

 

牙齒美白案例
Before
  • 牙齒暗黃
  • 顏色不均
After
  • 晶鑽居家美白
  • 溫和美白不敏感
  • 客製化專屬牙脫

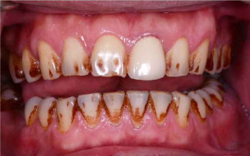
下列案例為副院長--謝䕒瑩醫師提供

 

牙齒美白案例
 
Before
  • 牙齒染色
  • 茶垢、菸垢附著
After
  • 全口噴砂